病院案内
スタッフ紹介
病院案内
診察案内
診察案内
皮膚科
眼科
腫瘍科
耳科専門外来
症例紹介
ONEケア
トリミング
採用情報
お知らせ
072-757-9810
症例紹介
猫ちゃんのアトピー
2025/06/24
会陰ヘルニア
2025/06/24
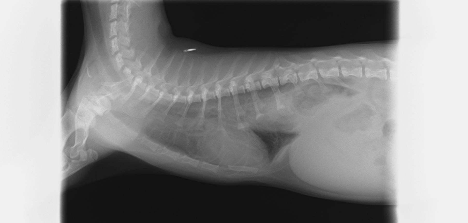
短頭種気道閉塞症候群
2025/06/24
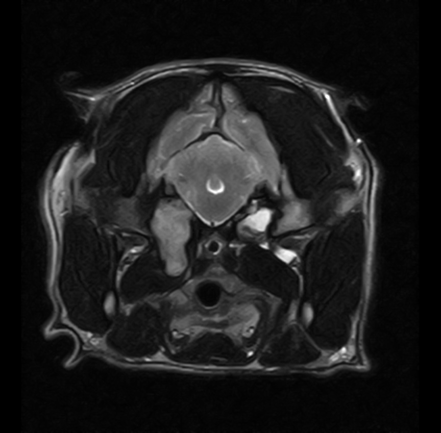
フレンチ・ブルドッグの真珠腫性中耳炎
2025/01/29
食道裂孔ヘルニア
2024/11/06
脾臓の腫瘍
2024/10/07
1 / 2
1
2
»
症例紹介一覧